Pracowania ortodontyczna
W Ortodoncji Przy Parku znajduje się profesjonalne i nowoczesne laboratorium. Takie rozwiązanie daje nam możliwość bezpośredniego kontaktu z lekarzami prowadzącymi leczenie ortodontyczne oraz szybszą realizacje prac.
Co nas wyróżnia?
Mentoring lekarza specjalisty – dzięki ścisłej współpracy i opiece doświadczonego eksperta możemy zapewnić najwyższy standard usług oraz indywidualne podejście do każdego przypadku.
Laboratorium
Nasze Laboratorium wyposażone jest między innymi w:
drukarki 3D
skaner protetyczny
spawarkę
urządzenie do formowania ciśnieniowego nakładek
Jako pracownia obsługujemy programy do modelowania 3D takie jak:
Orto Analyzer
Appliance Designer
OnyxCeph
Meshmixer
Blender
123D Design
3D Builder
MeshLab
3D-Tool








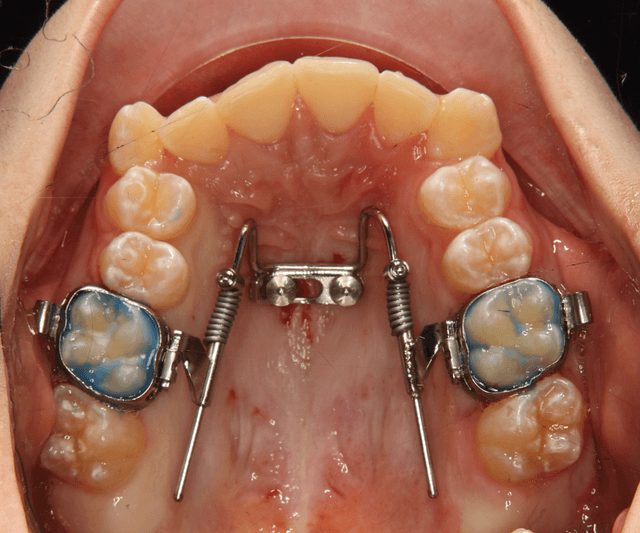
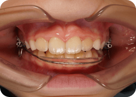
Wykonujemy pełen zakres prac ortodontycznych z akrylu, doginanych oraz projektowanych cyfrowo i wykonywanych w technice SLM (selektywne topienie laserowe). Produkujemy alignery stosowane do leczenia nakładkowego. Stosujemy dwie metody produkcji:
Alignery metodą tłoczenia
Alignery drukowane z pamięcią kształtu
Na bieżąco śledzimy postęp w dziedzinie ortodoncji oraz uczestniczymy w szkoleniach organizowanych przez wiodące firmy z branży. Pozwala to nam wykonywać nasze prace stosując najnowsze technologie i najlepsze materiały. Naszym głównym celem jest tworzyć aparaty ortodontyczne, które są zgodne z planem leczenia i oferujemy pełne wsparcie techniczne dla lekarza.
Zawsze służymy naszym doświadczeniem.
Przyjmujemy zlecenia od indywidualnych lekarzy.

Usługi
Świadczymy kompleksowe usługi techniki dentystycznej w zakresie ortodoncji.
- Nasze usługi:
- Diagnostyka
- Aparaty ortodontyczne
- Szyny
szyna do wybielania
szyna z set-upem
szyna relaksacyjna
szyna retencyjna
szyna do deprogramacji- Alignery In-Office lub GRAPHY
- Prace drukowane z żywicy
- Prace drukowane z metalu



























Współpraca
Zapraszamy do współpracy gabinety ortodontyczne a także indywidualnych lekarzy. Aby dowiedzieć się więcej zachęcamy do kontaktu


